teeth_salon 板


LINE

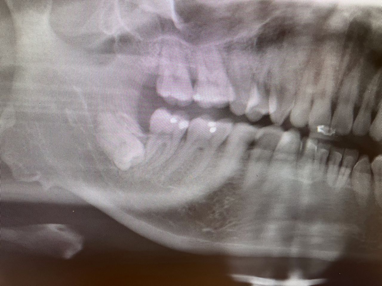
我记得是今年1月初 很像有个新闻说 去第一间牙科拔很久还没拔好 第2间轻轻松松就解决 有没有人的水平智齿 也跟我有类似的情形 是歪掉会伤到神经的这种 https://i.mopix.cc/6AVHl5.jpg
有去给大医院评估过 医生说是看个人自己决定 小弟已经不年轻了 --



※ 发信站: 批踢踢实业坊(ptt.cc), 来自: 223.136.86.226 (台湾)
※ 文章网址: https://webptt.com/cn.aspx?n=bbs/teeth_salon/M.1772764953.A.D58.html
1F:推 eason10: 我40几岁了去年拔水平智齿,如果在台北推荐民生东路的智 03/06 11:29
2F:→ eason10: 齿神 03/06 11:29
3F:推 lieutent: https://i.mopix.cc/K0QjUY.jpg 03/07 19:33
4F:推 lieutent: 我的应该比你严重,完全藏在齿槽骨里面,去年找彰化口外 03/07 19:38
5F:→ lieutent: 医师处理,全麻+手术3小时+住院3天,这医师医术超强, 03/07 19:38
6F:→ lieutent: 醒来後竟然完全不痛也不麻,对了,我年纪也是半百 03/07 19:38
7F:推 lieutent: 我这牙几十年来都相安无事,去年突然半夜下巴抽痛,调出 03/07 20:19
8F:→ lieutent: 十年前拍的x光跟现在相对比,发现除了更靠近前面的臼齿 03/07 20:19
9F:→ lieutent: ,水平智齿周围疑似有囊肿(类似充满液体的水球,最严 03/07 20:19
10F:→ lieutent: 重会吸收并破坏齿槽骨),不得不处理,你可以先去照电 03/07 20:19
11F:→ lieutent: 脑断层,请医师分析风险,例如有无紧贴神经 03/07 20:19
12F:推 lieutent: 我这位医师把三种手术方式都先说明清楚,1把齿槽骨切断 03/07 20:27
13F:→ lieutent: ,再取出智齿,优点:能完全取出,缺点:伤害最大,打 03/07 20:27
14F:→ lieutent: 钢钉,恢复期长,2打孔再把牙切块取出,优点,伤害较小 03/07 20:27
15F:→ lieutent: ,缺点:可能无法把碎齿清除乾净,术中也可能更改采用 03/07 20:28
16F:→ lieutent: 手术方式1,或是钻孔太大,虽然手术成功,但回家後,被 03/07 20:28
17F:→ lieutent: 碰触下巴或吃稍硬食物时,有骨折风险。3从前面臼齿钻孔 03/07 20:28
18F:→ lieutent: 插管,把水平智齿的囊肿液体引流吸出,此为下策,有复发 03/07 20:28
19F:→ lieutent: 的可能性 03/07 20:28
20F:推 lieutent: 医师说我的手术难度属中高级,叫我自己想想要不要作,也 03/07 20:30
21F:→ lieutent: 转头告诉助理,若我决定手术,那天就只排我一刀(他平常 03/07 20:30
22F:→ lieutent: 一个早上都是排5-6刀) 03/07 20:30
23F:推 lieutent: https://i.mopix.cc/t1yJ9j.jpg 03/07 20:32
24F:→ wavexin0214: 感谢楼上的分享 03/08 17:36
25F:推 linkinemily: 好奇L大最後选择什麽方案? 03/09 12:09
26F:推 lieutent: 医师助理叫我要自己选一个方案,叫我一定要自己决定, 03/09 18:28
27F:→ lieutent: 我心想,我怎麽可能知道要用哪一个方式,是我被手术啊! 03/09 18:28
28F:→ lieutent: 後来我把X光片丢去问ChatGPT(去年五月还能够上传问医 03/09 18:28
29F:→ lieutent: 疗问题,现在就不行), ChatGPT叫我选第一种(我原本是 03/09 18:28
30F:→ lieutent: 跟助理说要选第二种),後来我又改成第一种,但心里还是 03/09 18:28
31F:→ lieutent: 很担心,就去找帮我转介的诊所(就是我原本在看的诊所) 03/09 18:28
32F:→ lieutent: ,医师听到很惊讶,说怎麽可能会叫病患自己选手术方式, 03/09 18:28
33F:→ lieutent: 他说要帮我去问问那位口腔外科医师,後来我再去口外门诊 03/09 18:28
34F:→ lieutent: 时,医师说他不会因为我选什麽方式就用那个方式开刀,会 03/09 18:28
35F:→ lieutent: 看状况决定(我心想,奇怪那助理怎麽会这样问我,还问得 03/09 18:28
36F:→ lieutent: 很笃定) 03/09 18:28
37F:推 lieutent: 最後医生应该是用钻孔的方式处理,幸好一切都很顺利, 03/09 18:32
38F:→ lieutent: 完全没有嘴麻,甚至疼痛的感觉,完全没有 03/09 18:32
39F:→ lieutent: https://reurl.cc/qpdalE 03/09 18:40
40F:推 lieutent: 这是我在手术前找到的影片,我的状况就跟这个一样,你可 03/09 18:42
41F:→ lieutent: 以参考一下(这是真实的手术过程,请慎入,但可以帮你了 03/09 18:42
42F:→ lieutent: 解过程,心里会有个底) 03/09 18:42
43F:→ lieutent: 我没有找到切断齿槽骨的影片,只有找到这款钻孔取出水 03/09 18:43
44F:→ lieutent: 平智齿的影片 03/09 18:43







like.gif 您可能会有兴趣的文章
icon.png[问题/行为] 猫晚上进房间会不会有憋尿问题
icon.pngRe: [闲聊] 选了错误的女孩成为魔法少女 XDDDDDDDDDD
icon.png[正妹] 瑞典 一张
icon.png[心得] EMS高领长版毛衣.墨小楼MC1002
icon.png[分享] 丹龙隔热纸GE55+33+22
icon.png[问题] 清洗洗衣机
icon.png[寻物] 窗台下的空间
icon.png[闲聊] 双极の女神1 木魔爵
icon.png[售车] 新竹 1997 march 1297cc 白色 四门
icon.png[讨论] 能从照片感受到摄影者心情吗
icon.png[狂贺] 贺贺贺贺 贺!岛村卯月!总选举NO.1
icon.png[难过] 羡慕白皮肤的女生
icon.png阅读文章
icon.png[黑特]
icon.png[问题] SBK S1安装於安全帽位置
icon.png[分享] 旧woo100绝版开箱!!
icon.pngRe: [无言] 关於小包卫生纸
icon.png[开箱] E5-2683V3 RX480Strix 快睿C1 简单测试
icon.png[心得] 苍の海贼龙 地狱 执行者16PT
icon.png[售车] 1999年Virage iO 1.8EXi
icon.png[心得] 挑战33 LV10 狮子座pt solo
icon.png[闲聊] 手把手教你不被桶之新手主购教学
icon.png[分享] Civic Type R 量产版官方照无预警流出
icon.png[售车] Golf 4 2.0 银色 自排
icon.png[出售] Graco提篮汽座(有底座)2000元诚可议
icon.png[问题] 请问补牙材质掉了还能再补吗?(台中半年内
icon.png[问题] 44th 单曲 生写竟然都给重复的啊啊!
icon.png[心得] 华南红卡/icash 核卡
icon.png[问题] 拔牙矫正这样正常吗
icon.png[赠送] 老莫高业 初业 102年版
icon.png[情报] 三大行动支付 本季掀战火
icon.png[宝宝] 博客来Amos水蜡笔5/1特价五折
icon.pngRe: [心得] 新鲜人一些面试分享
icon.png[心得] 苍の海贼龙 地狱 麒麟25PT
icon.pngRe: [闲聊] (君の名は。雷慎入) 君名二创漫画翻译
icon.pngRe: [闲聊] OGN中场影片:失踪人口局 (英文字幕)
icon.png[问题] 台湾大哥大4G讯号差
icon.png[出售] [全国]全新千寻侘草LED灯, 水草

请输入看板名称,例如:WOW站内搜寻

TOP